Clinical Example: Bone graft psoriatic acro osteolysis

This elderly patient presented with a progressive thumbnail deformity. A history of psoriasis was revealed only postoperatively...
 
Click on each image for a larger picture
 
Click for larger image
Click for larger image
Plain films showed resorption of the distal two thirds of the distal phalanx:
Click for larger image
Click for larger image
Comparison views of the opposite side:
Click for larger image
Click for larger image
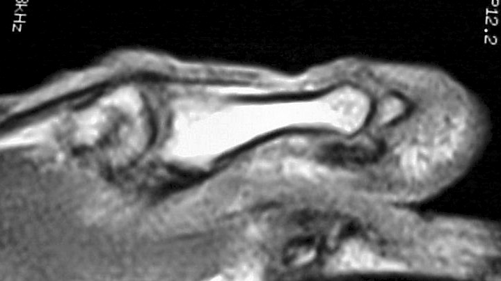
MRI demonstrated ill defined soft tissue replacement of the majority of the distal phalanx:
Click for larger image
Click for larger image
With contrast enhancement of the transformed area:
Click for larger image
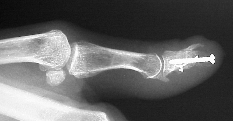
Exploration revealed no discrete  tumor, and a nondiagnostic frozen section. Because of diagnostic uncertainty and in order to avoid intraoperative cross contamination, a cancellous freeze dried allograft was used as a terminal graft: 
Click for larger image
Click for larger image
This incorporated, with some terminal resorption:
Click for larger image
Click for larger image
Search for...
acro osteolysis
psoriatic osteolysis
Case Examples Index Page e-Hand home