Clinical Example: Rheumatoid thumb IP fusion with a Herbert screw

There are many methods to fuse interphalangeal joints. In this case, a Herbert screw was used for arthrodesis fixation of an unstable thumb interphalangeal joint. This case also demonstrates the eponychial splitting approach to the joint.

 
Click on each image for a larger picture

 
Unstable IP joint with a nodule on the exposed prominence of the proximal phalangeal head.
Click for larger image
Eponychial splitting incision allows access to the nodule, direct exposure of the neurovascular bundle and tailoring any skin excess.
Click for larger image
Click for larger image
Click for larger image
Click for larger image
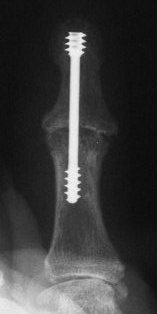
Herbert screw fixation seems most solid if leading threads are in the narrowest segment - the phalangeal neck.
Click for larger image
Click for larger image
About three months after surgery, comparing with the other thumb which has not had surgery.
Click for larger image
Click for larger image
Click for larger image
Search for...
interphalangeal arthrodesis
herbert screw arthrodesis
Case Examples Index Page e-Hand home